基本情報
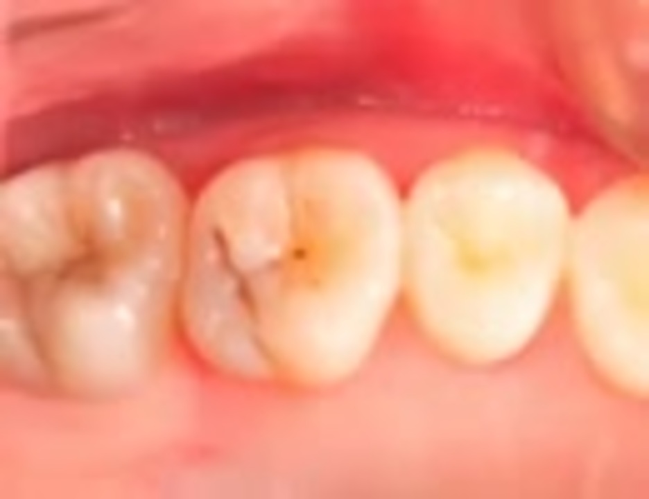
虫歯治療・外見は小さな穴だが中身は・・・
デバイス制限リアルタイムデータ
数値
タグ
説明文
ツール・外部リンク
コメント解析
コメント解析はボタンを押すと読み込みます
ニコラン的プロフィール
週刊ランキング履歴
| 番号 | 総合順位 | ポイント | ジャンル順位 | カテゴリ | 再生順位 | 再生数 | コメント順位 | コメント数 | マイリスト順位 | マイリスト数 | いいね順位 | いいね数 |
|---|---|---|---|---|---|---|---|---|---|---|---|---|
| 257 | 3000位 | 3,802 | 55位 | 科学 | 2573位 | 3,710 | 5098位 | 12 | 4445位 | 8 | - | - |
| 237 | 3038位 | 2,692 | 36位 | 科学 | 2568位 | 2,571 | 4052位 | 31 | 4008位 | 9 | - | - |
| 236 | 1750位 | 6,546 | 9位 | 科学 | 1332位 | 6,192 | 3683位 | 54 | 3181位 | 30 | - | - |
| 235 | 4058位 | 1,115 | 115位 | 科学 | 3713位 | 1,051 | 4252位 | 24 | 4210位 | 4 | - | - |
| 188 | 2445位 | 4,922 | 22位 | 科学 | 2103位 | 4,039 | 2671位 | 143 | 2763位 | 37 | - | - |